대한초음파의학회 Korean Society of Ultrasound in Medicine

GNB 메뉴 보기

[Hepatobiliary [HB]] 14 Years/F, Incidentally detected hepatic mass
  • Jae Seok Bae
  • 2025-10-10
Subspecialty Hepatobiliary [HB]
Classification Tumor
Difficulty For resident
Modality US, MR
  • Grayscale image
  • Color Doppler image
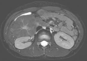
  • T2 fat suppressed image
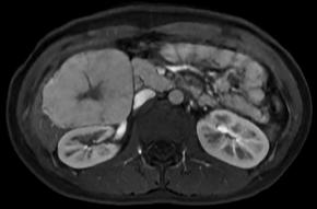
  • Arterial phase image
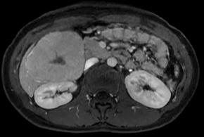
  • Portal venous phase image
퀴즈 응모 기간 2025-10-10 ~ 2025-10-24
Questions What is your diagnosis?
Answer
※ 개인정보의 수집 및 이용목적
대한초음파의학회는 증례토론 퀴즈 진행을 위해 개인정보를 요구하고 있습니다.
아이디, 성명, 소속을 필수입력사항으로 수집하고 있습니다.

※개인정보의 보유 및 이용기간
회원님의 개인정보는 대한초음파의학회에서 계속 보유하며 서비스 제공을 위해 이동하게 됩니다.
ANSWER
Answer Focal nodular hyperplasia
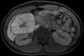
Comments This case report describes a hepatic tumor that was incidentally discovered in a pediatric patient with no underlying liver disease. On color Doppler imaging, there were findings suggestive of a central stellate scar, and the corresponding area demonstrated high signal intensity on T2-weighted MRI. Furthermore, on contrast-enhanced MRI, the lesion, excluding the central scar, showed homogeneous enhancement during the arterial phase and persistent enhancement in the portal venous phase with no evidence of washout. An additional finding, though not presented in the primary text, was homogeneous high signal intensity in the hepatobiliary phase (sparing the central scar). All of these findings are characteristic of focal nodular hyperplasia.
  • Hepatobiliary phase image
References
Keywords Focal nodular hyperplasia
박영태 (2025-10-10 09:35:45)
모바일 홈페이지에서 정답이 보이는 문제가 있어요.

topBt

[04158]서울시 마포구 마포대로 53 마포트라팰리스 A동 304호
  • 사업자등록번호 : 229-82-00887
  • 대표자: 이재영

Copyright©by Korean Society of Ultrasound in Medicine