대한초음파의학회 Korean Society of Ultrasound in Medicine

GNB 메뉴 보기

[Hepatobiliary [HB]] 62 Years/M, Abnormal finding on upper abdominal ultrasonography during a health check-up
  • Seung-seob Kim
  • 2026-04-25
Subspecialty Hepatobiliary [HB]
Classification Normal variant
Difficulty For resident
Modality US
퀴즈 응모 기간 2026-04-25 ~ 2026-05-09
Questions What is the most likely diagnosis?
Answer
※ 개인정보의 수집 및 이용목적
대한초음파의학회는 증례토론 퀴즈 진행을 위해 개인정보를 요구하고 있습니다.
아이디, 성명, 소속을 필수입력사항으로 수집하고 있습니다.

※개인정보의 보유 및 이용기간
회원님의 개인정보는 대한초음파의학회에서 계속 보유하며 서비스 제공을 위해 이동하게 됩니다.
ANSWER
Answer Biliary hamartomatosis
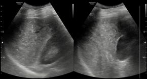
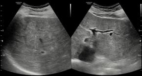
Comments Although the hepatic parenchyma may initially appear coarse, the liver actually shows numerous tiny hyperechoic foci with comet-tail artifacts scattered throughout the parenchyma. In addition, there are no accompanying findings suggestive of chronic liver disease or cirrhosis, such as liver contour blunting, surface nodularity, liver volume redistribution, dilatation of the portal vein, or splenomegaly.
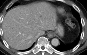
  • Multiple tiny low-attenuating lesions are scattered throughout the hepatic parenchyma, which is a characteristic CT finding of biliary hamartomatosis.
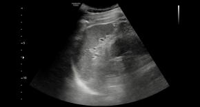
  • The CAP value of 227 dB/m and liver stiffness measurement of 4.4 kPa suggest no steatosis (S0) and no fibrosis (F0), respectively.
References
Keywords diffuse liver disease

topBt

[04158]서울시 마포구 마포대로 53 마포트라팰리스 A동 304호
  • 사업자등록번호 : 229-82-00887
  • 대표자: 이재영

Copyright©by Korean Society of Ultrasound in Medicine