대한초음파의학회 Korean Society of Ultrasound in Medicine

GNB 메뉴 보기

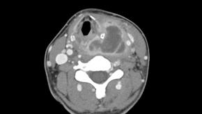
[Thyroid] 48 Years/F, Sore throat, neck pain
  • Sae Rom Chung
  • 2026-04-10
Subspecialty Thyroid
Classification Congenital
Difficulty For resident
Modality US, CT
  • Transverse image
  • Longitudinal image
퀴즈 응모 기간 2026-04-10 ~ 2026-04-24
Questions What is the most likely diagnosis?
Answer
※ 개인정보의 수집 및 이용목적
대한초음파의학회는 증례토론 퀴즈 진행을 위해 개인정보를 요구하고 있습니다.
아이디, 성명, 소속을 필수입력사항으로 수집하고 있습니다.

※개인정보의 보유 및 이용기간
회원님의 개인정보는 대한초음파의학회에서 계속 보유하며 서비스 제공을 위해 이동하게 됩니다.
ANSWER
Answer Infected 4th branchial cleft anomaly
Comments A Fourth branchial cleft anomaly is a rare congenital anomaly caused by incomplete obliteration of the fourth branchial pouch. It typically presents with recurrent left-sided neck infection or abscess, often involving the upper thyroid gland or adjacent neck spaces. The tract usually originates from the apex of the Pyriform sinus and extends inferiorly toward the thyroid gland, which explains the frequent association with recurrent suppurative thyroiditis. Recognition of this characteristic connection to the pyriform sinus is key to making the diagnosis.
References
Keywords painful neck mass, Fourth branchial cleft anomaly

topBt

[04158]서울시 마포구 마포대로 53 마포트라팰리스 A동 304호
  • 사업자등록번호 : 229-82-00887
  • 대표자: 이재영

Copyright©by Korean Society of Ultrasound in Medicine